라미네이트 가격, 과정, 부작용 및 무삭제 라미네이트에 대해 총정리합니다.
남녀노소 할 것 없이 요즘은 외모 관리에 관심이 많습니다.
보다 아름답고 자신감 있는 모습을 갖고 싶어 하는 것은 사람의 당연한 욕구예요.
성형수술이나 쌍꺼풀 수술이 대표적인데, 최근에는 치아 미용도 큰 관심을 받고 있습니다.
대표적인 것이 치아교정이지만, 교정은 최소 1~3년이라는 긴 기간이 필요하다는 단점이 있어요.
이런 단점을 보완한 방법이 오늘 소개해드릴 라미네이트 시술입니다.
라미네이트란 무엇이고, 가격과 시술 과정, 부작용, 무삭제 라미네이트 등에 대해 자세하게 알아보겠습니다.
라미네이트란?

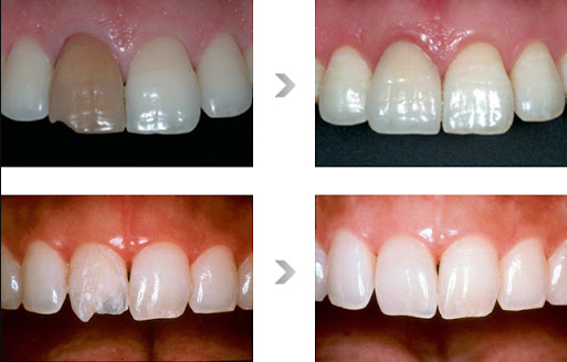
라미네이트는 치아 심미 치료의 한 방법으로, 앞니 표면을 얇게 삭제한 후 세라믹(도자기) 재질로 만든 얇은 판을 붙이는 시술입니다.
정확한 의학 용어는 ‘포세린 라미네이트(Porcelain Laminate)’이며, 마치 인조 손톱을 붙이듯 치아 표면에 앉은 껍질 모양의 보철물을 부착하는 방식이에요.

라미네이트가 필요한 경우:
- 앞니 사이가 벌어진 경우
- 앞니의 모양이나 크기가 마음에 들지 않는 경우
- 앞니가 심하게 변색되거나 착색된 경우
- 앞니가 깨졌거나 손상된 경우
- 왜소치(작은 치아)나 원추형 치아
- 미백으로 개선되지 않는 테트라사이클린 착색
치아 표면을 다듬는 작업을 ‘삭제’라고 부르며, 일반적으로 0.1~0.7mm 정도의 법랑질(치아 겉 부분)만 최소한으로 제거합니다.
이후 맞춤 제작한 세라믹 보철물을 특수 접착제로 단단히 부착하여 시술이 완료됩니다.
라미네이트 가격
라미네이트의 가격은 치과마다 상당한 차이가 있습니다.
실제 리뷰 데이터를 기반으로 조사한 결과, 라미네이트 평균 가격은 치아 1개당 약 85만원 수준으로 집계되었습니다.
최저가는 약 40만원대부터 시작하며, 고가의 경우 150만원 이상인 경우도 있습니다.
가격 차이가 나는 이유:
- 재료의 품질: 사용하는 세라믹 재질과 브랜드에 따라 차이
- 의료진의 경력: 숙련된 전문의의 경우 비용이 높을 수 있음
- 병원 위치: 강남, 압구정 등 지역에 따른 차이
- 기공소 수준: 협력하는 치과기공소의 기술력
- 시술 범위: 무삭제 라미네이트 등 특수 시술은 추가 비용
일반적으로 앞니 6~8개를 시술하는 경우가 많아, 총 비용은 500만원에서 1,000만원 사이로 예상하시면 됩니다.
라미네이트는 건강보험이 적용되지 않는 비급여 항목이므로 병원마다 자유롭게 가격을 책정할 수 있습니다. 따라서 여러 치과를 방문하여 상담받고 비교하는 것이 좋습니다.
라미네이트 시술 과정

라미네이트 시술은 일반적으로 2회 내원으로 완료되며, 총 소요 기간은 약 1주일 정도입니다.
1차 방문 (치아 삭제 및 본뜨기)
소요 시간: 치아 1개당 20~30분
- 상담 및 계획 수립: 원하는 치아 모양과 색상 결정, 3D 시뮬레이션으로 미리 결과 확인
- 치아 삭제: 치아 표면을 0.1~0.7mm 정도 얇게 삭제 (신경 손상 없음)
- 본뜨기: 삭제한 치아의 정확한 본을 떠서 기공소로 전달
- 임시 보철물 장착: 기공물 제작 기간 동안 착용할 임시 보호막 부착
치아 신경이 예민한 경우 부분 마취 후 진행하며, 잇몸에 염증이 있다면 먼저 치료를 완료해야 합니다.
기공 제작 기간
소요 기간: 5~7일
전문 치과기공소에서 개인 맞춤형 세라믹 라미네이트를 제작합니다. 자연 치아의 투명감과 색상을 세밀하게 재현하는 레이어링 작업이 진행됩니다.
2차 방문 (라미네이트 부착)
소요 시간: 치아 1개당 10~20분
- 임시 보철물 제거: 1차 방문 시 부착한 임시 보호막 제거
- 시적 및 확인: 완성된 라미네이트를 치아에 대보고 색상, 모양 최종 확인
- 영구 접착: 특수 하이브리드 레진 접착제로 라미네이트를 치아에 단단히 부착
- 마무리: 교합 조정 및 최종 연마
중요: 치아 배열이 심하게 틀어져 있거나 돌출이 심한 경우에는 라미네이트만으로 해결이 어려워 올세라믹 크라운 치료나 교정을 먼저 진행해야 할 수 있습니다.
라미네이트 부작용 및 주의사항

라미네이트는 비교적 안전한 시술이지만, 치아를 삭제하는 과정이 포함되어 있어 몇 가지 부작용과 주의사항이 있습니다.
주요 부작용
1. 치아 시림 및 통증
치아를 삭제하는 과정에서 치수(신경)와의 거리가 가까워져 냉온 자극에 민감해질 수 있습니다. 초기 1주일 정도는 지각과민 증상이 나타날 수 있으나 점차 완화됩니다. 심한 경우 신경치료가 필요할 수 있어요.
2. 라미네이트 파절(깨짐)
세라믹 재질 특성상 강한 충격이나 과도한 힘에 깨질 수 있습니다. 딱딱한 음식을 앞니로 깨물거나, 이갈이 습관이 있으면 파손 위험이 높아집니다.
3. 충치 및 잇몸 염증
라미네이트와 자연 치아 사이, 라미네이트와 잇몸 경계면에 음식물 찌꺼기가 끼면 충치나 잇몸 염증이 발생할 수 있습니다. 특히 경계부 충치는 라미네이트를 제거해야 치료가 가능합니다.
4. 탈락 및 변색
접착이 제대로 되지 않았거나 관리가 소홀한 경우 라미네이트가 떨어질 수 있습니다. 또한 흡연, 커피, 레드와인 등으로 경계 부위가 변색될 수 있습니다.
5. 비가역적 시술
한 번 삭제된 치아는 재생되지 않습니다. 라미네이트를 제거하더라도 원래 치아로 돌아갈 수 없으며, 평생 보철물을 유지해야 합니다.
시술 후 주의사항
- 초기 3일: 접착제가 완전히 굳는 기간으로 딱딱한 음식과 음주는 피하세요
- 6개월까지: 앞니로 단단한 음식을 직접 깨물지 말고 어금니를 사용하세요
- 금지 행동: 이갈이, 손톱 깨물기, 얼음 씹기, 병뚜껑 따기 등 나쁜 습관 개선
- 구강 위생: 부드러운 칫솔 사용, 치실과 치간칫솔로 경계면 관리 철저
- 정기 검진: 6개월마다 치과 검진으로 라미네이트 상태 확인
라미네이트 장단점
장점
- 빠른 시술: 치아교정은 2~3년이 걸리지만 라미네이트는 약 1주일이면 완료
- 발치 불필요: 치아를 뽑지 않고 가지런하게 만들 수 있음
- 뛰어난 심미성: 원하는 색상과 모양으로 자연스러운 미백 효과
- 최소 삭제: 크라운에 비해 치아 손상이 적음
- 통증 적음: 대부분 마취 없이 시술 가능
- 변색 적음: 세라믹 재질로 반영구적 색상 유지
단점
- 비가역적: 삭제한 치아는 원상 복구 불가능
- 수명 한계: 평균 10~15년, 관리에 따라 차이
- 파손 위험: 강한 충격에 깨질 수 있음
- 높은 비용: 건강보험 미적용으로 경제적 부담
- 유지 관리: 세심한 구강 관리와 정기 검진 필수
- 제한적 적용: 심한 부정교합이나 치열 불량은 교정 선행 필요
무삭제 라미네이트

무삭제 라미네이트는 일반 라미네이트의 단점인 ‘치아 삭제’를 최소화한 시술 방법입니다.
‘제로네이트’ 또는 ‘노-프렙 라미네이트(No-Prep Laminate)’라고도 불리며, 자연 치아를 최대한 보존하면서 심미성을 개선하는 것이 목표예요.
무삭제 라미네이트의 특징
- 최소 삭제: 치아 표면을 거의 삭제하지 않거나 아주 최소한만 다듬음
- 치아 보존: 법랑질을 최대한 유지하여 치아 손상 최소화
- 시림 감소: 치아 삭제가 적어 지각과민 증상이 거의 없음
- 기능과 심미 동시 충족: 치아 건강을 해치지 않으면서 외관 개선
무삭제 라미네이트 적용 가능한 경우
- 왜소치(작은 치아)로 치아 사이 공간이 있는 경우
- 치아 길이만 늘리고 싶은 경우
- 치아 크기가 작아 볼륨을 추가하고 싶은 경우
- 경미한 변색이나 착색 개선
중요: 무삭제 라미네이트는 모든 경우에 적용 가능한 것은 아닙니다. 치아 배열이 고르지 않거나, 돌출이 심하거나, 치아 크기가 큰 경우에는 삭제가 필수적입니다. 무리하게 무삭제로 진행하면 라미네이트가 두꺼워져 부자연스러울 수 있어요.
정확한 진단을 위해 숙련된 전문의와 충분한 상담 후 본인에게 적합한 방법을 선택하는 것이 중요합니다.
라미네이트 추천 치과
라미네이트는 의사의 실력과 경험, 협력 기공소의 기술력에 따라 결과가 크게 달라지는 시술입니다.
여러 치과를 방문하여 상담받고, 실제 시술 사례와 후기를 꼼꼼히 확인한 후 결정하시기 바랍니다.
아래는 후기가 많고 평점이 높은 치과 몇 곳을 소개해드립니다.

라이브치과병원 강남점
라이브치과병원 강남점은 평점 8.5 이상을 유지하며 고객 만족도가 높은 치과입니다.
라미네이트를 비롯해 치아교정, 임플란트, 스케일링, 충치 치료, 사랑니 발치 등 다양한 치과 진료를 제공합니다.
위치: 서울시 강남구 역삼동 604-1 라이브빌딩 1~2층 (언주역에서 380m)
진료 시간:
- 월, 수, 금: 09:30~18:30
- 화, 목: 09:30~20:30 (야간 진료)
- 전문의 9명 상주
야간 진료가 가능하여 직장인들이 이용하기 편리하며, 정기적으로 할인 이벤트를 진행하고 있으니 방문 전 확인해보세요.
서울나은치과의원

서울나은치과의원은 방문자 평점이 9.2점으로 매우 높은 곳입니다.
실제 방문 후기가 98개 이상 있으며, 라미네이트뿐만 아니라 사랑니 발치, 치과 검진, 충치 치료, 임플란트, 턱관절 치료 등 종합적인 치과 진료를 제공합니다.
위치: 서울특별시 종로구 종로3가 119번지 동영타워 8층 (종로3가역에서 100m)
진료 시간:
- 평일: 10:00~20:00 (점심시간 13:00~14:00)
- 토요일: 11:00~17:00
- 일요일: 11:00~17:00
- 여성 의사 진료 가능
지하철역과 매우 가까워 접근성이 우수하며, 주말 진료가 가능하여 평일에 시간 내기 어려운 분들에게 특히 추천합니다.
라미네이트 vs 다른 치아 미용 시술
치아 미용을 고려할 때 라미네이트 외에도 여러 선택지가 있습니다. 각 시술의 특징을 비교해보세요.
라미네이트 vs 올세라믹 크라운
- 라미네이트: 치아 앞면만 덮음, 삭제량 적음, 가격 저렴
- 올세라믹 크라운: 치아 전체를 덮음, 삭제량 많음, 강도 우수, 가격 비쌈
심한 부정교합이나 치아 손상이 큰 경우는 크라운이 적합합니다.
라미네이트 vs 치아교정
- 라미네이트: 1주일, 치아 삭제 필요, 미백 효과 우수, 비가역적
- 치아교정: 1~3년, 치아 보존, 근본적 개선, 가역적
시간 여유가 있고 자연 치아를 보존하고 싶다면 교정을, 빠른 심미 개선이 목표라면 라미네이트를 추천합니다.
라미네이트 vs 치아 미백
- 라미네이트: 완벽한 흰색, 영구적, 모양 교정 가능, 고가
- 치아 미백: 자연스러운 톤 업, 일시적, 모양 불변, 저렴
단순 변색만 개선하려면 미백을, 치아 모양과 배열까지 개선하려면 라미네이트가 적합합니다.
라미네이트 관리법 및 수명 연장 팁
라미네이트의 평균 수명은 10~15년이지만, 관리를 어떻게 하느냐에 따라 20년 이상 사용하는 경우도 있습니다.
일상 관리 수칙
- 올바른 칫솔질: 부드러운 칫솔로 하루 3회, 3분 이상 꼼꼼하게
- 치실 사용: 라미네이트와 자연 치아 경계면을 매일 관리
- 치간칫솔: 치아 사이 음식물 제거로 충치 예방
- 구강청결제: 항균 효과로 잇몸 염증 예방
피해야 할 음식 및 습관
- 딱딱한 음식: 얼음, 견과류, 뼈, 사탕 등을 앞니로 깨물지 않기
- 질긴 음식: 오징어, 쥐포, 육포 등 무리한 저작 피하기
- 착색 음식: 커피, 레드와인, 카레 등 과도한 섭취 자제
- 나쁜 습관: 이갈이, 손톱 깨물기, 볼펜 깨물기, 이쑤시개 과용 금지
정기 검진의 중요성
6개월마다 치과를 방문하여 라미네이트 상태를 점검받으세요. 미세한 균열이나 탈락 조짐, 경계면 충치를 조기에 발견하여 큰 문제로 발전하기 전에 해결할 수 있습니다.
마무리
지금까지 라미네이트 가격, 과정, 부작용, 무삭제 라미네이트 등에 대해 상세히 알아보았습니다.
사람이라면 누구나 더 아름다운 외모를 갖고 싶어 하는 욕구가 있는 것은 당연합니다.
하지만 라미네이트는 미용 목적의 시술이라 하더라도 치아를 영구적으로 변화시키는 중요한 결정입니다.
자신의 치아 상태와 생활 습관, 경제적 여건 등을 종합적으로 고려하지 않고 무리하게 진행하면 오히려 문제가 발생할 수 있어요.
라미네이트 시술 전 꼭 확인해야 할 사항:
- 여러 치과를 방문하여 충분한 상담 받기
- 실제 시술 사례와 전후 사진 확인하기
- 의료진의 경력과 전문성 검증하기
- 협력 기공소의 수준 파악하기
- 비용뿐만 아니라 사후 관리 프로그램도 확인하기
무엇보다 숙련된 전문의와 충분한 상담을 거친 후, 본인의 치아 상태에 가장 적합한 방법을 선택하는 것이 중요합니다.
위에서 소개해드린 후기가 좋은 치과들을 참고하시어, 만족스러운 결과를 얻으시길 바랍니다.
라미네이트 시술로 자신감 넘치는 환한 미소를 되찾으시기를 응원합니다!
