키 크는 수술 비용 및 후기, 부작용, 방법 | 키크는주사 | 사지연장술에 대해서 알아볼게요.
외모도 하나의 스펙이 된 요즘사람들은 키가 커야 성공할 수 있다고 믿거나 더 높은 키가 더 많은 존경과 사랑을 가져다 줄 것이라고 상상하기도 하는데요.
그만큼 현대에 있어서는 키는 성공 요인의 하나라고 꼽히기도 할 정도로 중요하게 생각되고 있습니다.
물론 이러한 결과가 어떠한 과학적 증명이 이루어진 것은 아니지만 키에 대한 사회적인 인식은 우리의 삶에 깊게 뿌리 내리고 있는데요.
그렇기에 키를 크게 하려는 다양한 방법들이 있습니다.
그중에 하나가 수술인데요. 이번에는 키를 크게 하는 수술의 비용과 후기, 부작용과 방법 등에 대해서 한번 분석해 보도록 하겠습니다.
✅ 건강 관련 정보 더 보기
📌얼굴 점 빼기 가격 및 얼굴 점 생기는 이유, 얼굴 점 위치 관상
📌알레르기 검사 비용 및 종류, 보험, 결과 해석, 어디서
키 크는 수술이란

키를 키우는 수술은 일명 사지연장술이라고 불리고 있는데요.
사지연장술은 팔다리의 길이를 인공적으로 늘리는 수술을 말합니다.
원래의 목적은 선천적인 기형이나 사고로 인해서 뼈가 변경되었을 경우 이를 수술하는 방법으로 교정할 목적으로 발명이 되었는데요.
하지만 이 방법이 미용적 측면으로 이용이 되면서 사지연장술이라는 키 크는 수술이라는 이름으로 불리고 있게 되었습니다.
키에 대한 관심은 국내뿐 아니라 해외에서도 동일한데요.
특히 팬데믹 기간 동안에는 해외 유명 기업들의 고액 연봉자들이 사지연장술 전문 병원을 찾아서 오히려 이 기간 동안에는 사지연장술 수술을 하는 사람이 폭발적으로 늘어났다고 하고 있습니다.
키 크는 수술 방법
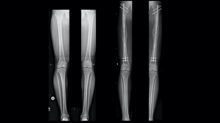
사지연장술을 하는 방법은 우선 환자의 대퇴골을 절삭한 뒤 뼈 사이에 금속 막대를 삽입하고 막대를 하루에 아주 작은 길이로 조금씩 늘려가면서 수술받은 환자의 키를 키울 수 있게 만드는 방식인데요.
수술 후에는 최소 3개월에서 6개월 동안 지속적인 재활활동을 해야 한다고 알려져 있습니다.
수술의 기본적인 원리는 뼈가 다시 붙는 과정에서 뼈를 조금씩 잡아서 늘린다고 생각하시면 되는데요.
우리가 만약 일상생활을 하면서 뼈가 부러진다면 뼈는 자연 치유를 하기 위해서 조금씩 자라면서 서로 맞붙게 됩니다.
이 원리를 이용해서 멀쩡한 다리 뼈를 자른 후에 그 사이에 인공적으로 늘려주는 기계를 삽입한 후 이 기계를 통해서 두 뼈가 맞붙을 때마다 조금씩 길이를 늘려가는 방식인데요.
이렇게 하면서 자연적으로 뼈의 길이가 늘어나게 만들어주는 것입니다.
보통 안정적인 연장 길이는 4cm에 6cm 정도를 말을 하지만 이왕 수술하게 되면 키가 많이 큰 것을 고려하기 때문에 최대 10cm에서 15cm 정도까지도 늘릴 수 있다고 알려져 있습니다.
키 크는 수술 후기와 회복시간

기본적인 수술 회복 기간은 수술 기간만 3개월 정도를 잡아야 하는데요 그 기간 동안에는 병원에 누워서 생활을 해야 합니다.
다리를 움직일 수 없기 때문에, 누워서 3개월이라는 기간 동안 조금씩 다리뼈 길이를 연장을 받아야 하고요 그 이후 수술 회복을 위해서도 한 5~6개월 정도의 기간이 필요합니다.
또 이 회복 기간 동안에는 재활 운동도 해야 하는데요
천천히 걷기부터 시작해서 제대로, 완전히 두 발로 정상적인 걸음을 걸을 수 있게 되기까지는 1년 정도 지나야 한다고 말을 하고요 그 후에 2년 정도 되면은 뛰는 것과 같은 운동 활동도 할 수 있다고 합니다.
즉, 수술 후 2년이 지나면 정상적인 활동을 전부 다 할 수 있다고 보게 되는데요 이때쯤에는 뼈 사이를 늘리기 위해 삽입해 놓았던 고정 장치를 제거하게 됩니다.
따라서 키 크는 사지 연장 수술이 이제서야 비로소 완전히 되었다고 볼 수 있을 것 같네요.
키 키는 수술 부작용
이러한 수술에는 많은 비용과 환자의 고통과 인내심이 필요할 뿐만 아니라, 그에 따르는 부작용도 생각해 보지 않을 수 없는데요.
사지연장술을 하게 되면, 부작용으로는 근육의 길이가 잘 맞지 않게 되어 뒷발이 바닥에 닿지 않게 되는 경우들도 있습니다.
뼈가 자라난 만큼 근육도 같이 길게 늘어나 주어야 하는데, 뼈가 자라나는 속도를 근육이 따라가지 못하게 되어 생기는 경우인데요
이 경우는 종아리 근육이 짧아져서 발 뒤꿈치가 바닥에 닿지 않고, 일명 까치발이라고 불리는 형태로 발을 들고 다닐 수밖에 없는 경우가 생길 수도 있습니다.
그 외에 다리 부분에 지나가게 되는 신경에 손상이 있을 수도 있고, 자칫 잘못하면 근육 괴사라든가 운동 능력의 저하 등이 올 수도 있습니다.
또 연장 길이가 길면 길어질수록 부작용이 일어날 가능성도 높다는 것도 유의해 두셔야 합니다.
키 크는 수술 비용

이러한 사지연장술 수술을 하는 비용은 병원마다 각각 다르고, 개인의 컨디션마다 조금씩 달라질 수는 있지만 대체적인 비용은 약4천만 원에서 5천만 원 사이 많게는 8천만 원까지도 비용이 들 수 있다고 합니다.
해외의 경우에서는 이런 수술을 한 번 받는 데 2억 정도까지의 비용이 든다고 합니다.
이러한 사지연장술 방법은 최후의 방법으로 얘기되고 있는데요.
어렸을 때 성장기에 키 크는 주사를 맞아서 미리 신경을 쓰는 분들도 많으십니다.
키크는주사
자녀의 성장에 신경을 많이 쓰는 부모님들은 어렸을 때부터 키 성장에 많은 관심을 가지고 호르몬 검사라든가 성장판 검사 등을 통해서 또래보다 키가작게 될 경우를 미리 예방하고 적절한 영양소를 섭취하도록 도와주고 있는데요.
또 이 외에도 키 크는 주사라고 불리는 주사를 맞아서 아이가 성장할 수 있는 최대치로 키를 크게 할 수 있도록 도움을 주고 있습니다.
흔히 키 크는 주사라고 불리는 이 주사는 성장 호르몬 주사가 필요한 케이스로 또래보다 평균신장이 많이 차이 나게 될 경우 사용하게 되는 주사인데요.
보통 또래 평균 키보다 10cm 이상 작을 경우 저성장증이라고 불리며 이러한 성장호르몬 주사 치료를 받을 수 있게 됩니다.
키를 크게 하는 방법은 다양하며 그중에서도 키 크는 주사는 유아, 청소년 때 그리고 성장이 다 끝난 후에는 사지연장술까지도 고려하게 되는데요.
이러한 방법은 높은 비용과 부작용 그리고 불확실한 효과들도 있기 때문에 신중한 선택이 필요하다고 할 수 있겠습니다.
